国际妇产科学杂志 ›› 2025, Vol. 52 ›› Issue (6): 672-675.doi: 10.12280/gjfckx.20250771

• 产科生理及产科疾病:病例报告 • 上一篇    下一篇

妊娠早期合并盆腔静脉丛血栓形成一例

李琼, 李慧东(), 张云山   

  1. 300100 天津市中心妇产科医院超声科(李琼,李慧东),生殖医学中心(张云山)
  • 收稿日期:2025-07-15 出版日期:2025-12-15 发布日期:2025-12-30
  • 通讯作者: 李慧东 E-mail:13820976569@163.com

A Case of Pelvic Venous Plexus Thrombosis Complicating Early Pregnancy

LI Qiong, LI Hui-dong(), ZHANG Yun-shan   

  1. Department of Ultrasonography (LI Qiong, LI Hui-dong), Reproductive Medical Center (ZHANG Yun-shan), Tianjin Central Hospital of Gynecology Obstetrics, Tianjin 300100, China
  • Received:2025-07-15 Published:2025-12-15 Online:2025-12-30
  • Contact: LI Hui-dong E-mail:13820976569@163.com

摘要:

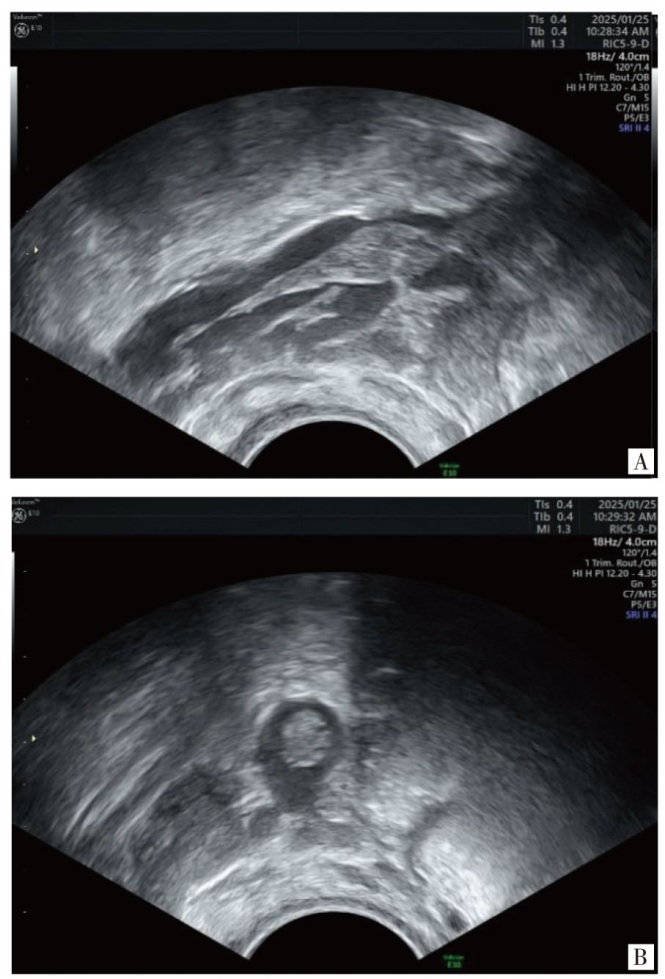
妊娠合并盆腔静脉丛血栓形成是一种较严重的妊娠并发症。该病发病率低,临床表现不典型,一般不易察觉。报告1例辅助生殖技术妊娠后,于孕40+ d常规彩色多普勒超声检查发现盆腔静脉丛内团块,超声提示早孕合并盆腔静脉丛血栓形成,后经给予低分子肝素抗凝和地屈孕酮保胎治疗后血栓消失,母婴预后良好。报道此病例旨在提高超声医师及临床医师对本病的认识,对临床化验及家族史可疑存在“易栓症”的孕妇,超声检查既要包括宫内胚胎发育情况、附件区情况,又要注意盆腔静脉丛的检查,对盆腔静脉丛血栓形成做到早期诊断和早期治疗,改善母胎结局。

关键词: 妊娠初期, 超声检查,多普勒, 生殖技术,辅助, 血栓形成倾向, 病例报告, 盆腔静脉丛血栓形成

Abstract:

Pelvic venous plexus thrombosis complicating pregnancy is a relatively severe pregnancy-related complication. This disease has a low incidence rate and atypical clinical manifestations, so it is generally difficult to detect. We report a case where, after pregnancy achieved through assisted reproductive technology, a mass in the pelvic venous plexus was detected by routine color Doppler ultrasound examination at more than 40 days of gestation. The ultrasound indicated early pregnancy complicated with pelvic venous plexus thrombosis. After anticoagulant treatment with low-molecular-weight heparin and tocolysis treatment with dydrogesterone, the thrombus disappeared, and the prognosis of the mother and the infant was good. The purpose of reporting this case is to improve the awareness of this disease among ultrasound physicians and clinical physicians. For pregnant women with suspected "thrombophilia" based on clinical laboratory tests and family history, the ultrasound examination should include the intrauterine embryonic development, the condition of the adnexa, and also pay attention to the examination of the pelvic venous plexus, so as to achieve early diagnosis and early treatment of pelvic venous plexus thrombosis and improve the maternal-fetal outcomes.

Key words: Pregnancy trimester, first, Ultrasonography, Doppler, Reproductive techniques, assisted, Thrombophilia, Case reports, Pelvic venous plexus thrombosis