国际妇产科学杂志 ›› 2025, Vol. 52 ›› Issue (1): 79-83.doi: 10.12280/gjfckx.20240883

• 普通妇科疾病及相关研究:病例报告 • 上一篇    下一篇

非妊娠期重度自发性卵巢过度刺激综合征一例

张栋, 王筝, 李凯, 卞文丽, 高志华   

  1. 300350 天津大学海河医院妇科
  • 收稿日期:2024-09-26 出版日期:2025-02-15 发布日期:2025-02-14

A Case of Severe Spontaneous Ovarian Hyperstimulation Syndrome in Non-Pregnancy

ZHANG Dong, WANG Zheng, LI Kai, BIAN Wen-li, GAO Zhi-hua   

  1. Department of Gynecology, Tianjin University Haihe Hospital, Tianjin 300350, China
  • Received:2024-09-26 Published:2025-02-15 Online:2025-02-14

摘要:

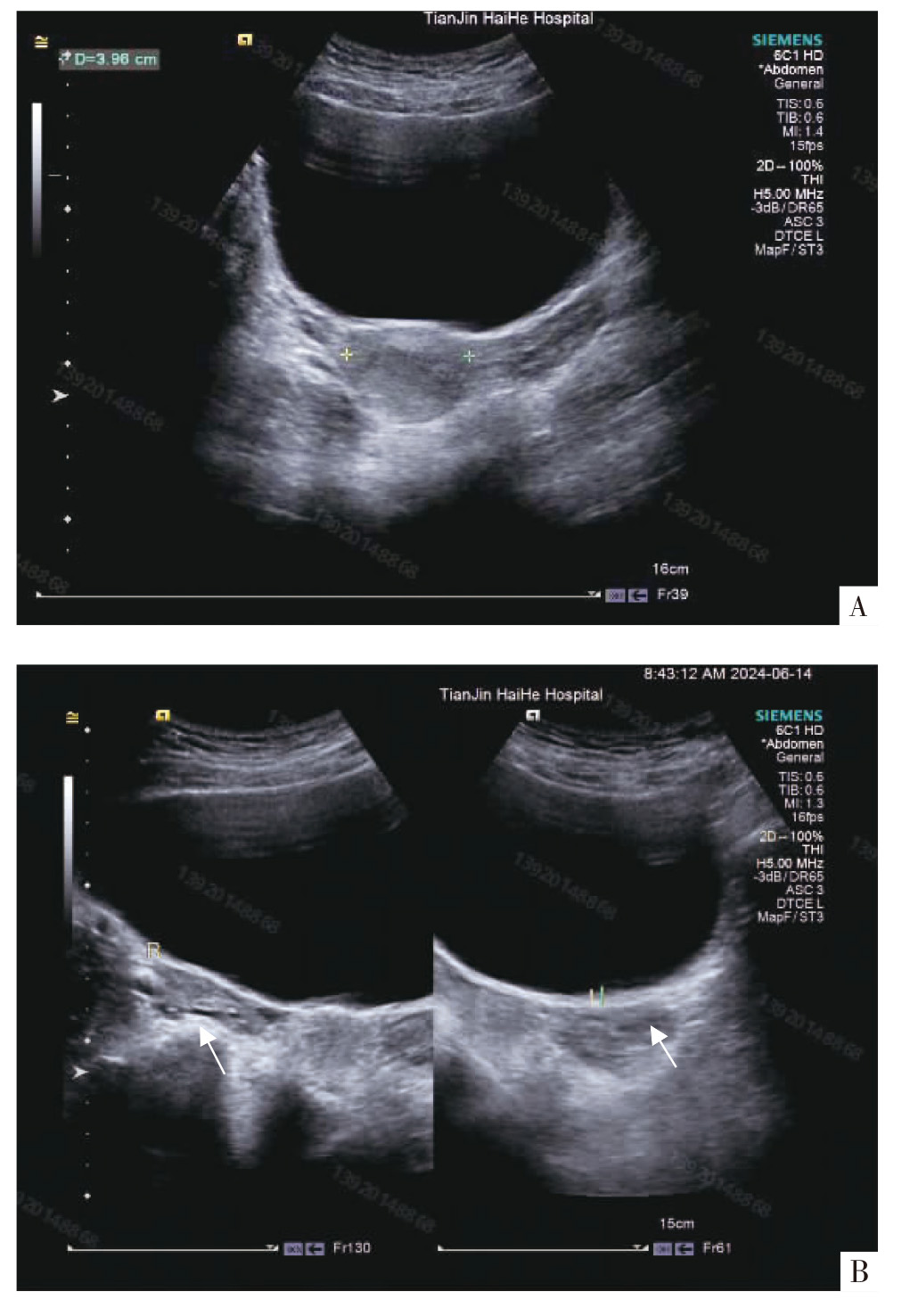
自发性卵巢过度刺激综合征(spontaneous ovarian hyperstimulation syndrome,sOHSS)多数发生于妊娠期,非妊娠期(sOHSS)极其罕见。因该疾病缺乏促排卵病史,重度、极重度患者通常合并胸腹水,影像学表现难以与卵巢肿瘤区分,因此,及时作出诊断十分困难。报告1例罕见的非妊娠期重度sOHSS病例,该患者为20岁女性,因咳痰、恶心、呕吐等症状就诊,经检查发现双侧胸腔积液及盆腔肿物,后转入妇科进一步诊治。通过影像学检查及实验室检测,排除卵巢恶性肿瘤等其他疾病后,结合患者月经不规律及卵巢影像学表现,确诊为sOHSS。在治疗上采取对症支持治疗,包括静脉补液、纠正贫血、胸腔引流等措施,患者病情逐渐好转,最终康复出院。sOHSS诊断困难且临床表现多样,临床医生在面对类似症状时需警惕sOHSS的可能,避免误诊及过度治疗。

关键词: 自发性卵巢过度刺激综合征, 卵泡刺激素, 多囊卵巢综合征, 诊断, 病例报告

Abstract:

Spontaneous ovarian hyperstimulation syndrome (sOHSS) mostly occurs in pregnancy, and sOHSS in non-pregnany is extremely rare. Timely diagnosis is difficult due to the lack of ovulation induction history, the usual combination of hydrothorax and ascites in patients with severe and very severe disease, and difficulty in distinguishing the imaging manifestations from ovarian tumors. We report a rare case of severe sOHSS in non-pregnancy, a 20-year-old female who presented to the hospital with coughing, nausea, and vomiting, and was referred to gynecology department for further management after examination revealed bilateral pleural effusions and pelvic masses. Through imaging examinations and laboratory tests, other diseases such as ovarian malignant tumors were excluded, and the diagnosis of sOHSS was confirmed by the combination of irregular menstruation and ovarian imaging manifestations, sOHSS was treated with symptomatic supportive therapy, including intravenous rehydration, correction of anemia, and thoracic drainage, etc., and the patient′s condition gradually improved and she was eventually discharged from the hospital. sOHSS is difficult to diagnose and has a variety of clinical manifestations, so clinicians need to be vigilant about sOHSS when faced with similar symptoms to avoid misdiagnosis and over treatment.

Key words: Spontaneous ovarian hyperstimulation syndrome, Follicle stimulating hormone, Polycystic ovary syndrome, Diagnosis, Case reports