国际妇产科学杂志 ›› 2025, Vol. 52 ›› Issue (6): 717-720.doi: 10.12280/gjfckx.20250387

• 妇科肿瘤研究:病例报告 • 上一篇    

以腹水为主要症状的滤泡性淋巴瘤一例

孙壬涟, 程岳, 思彩霞, 魏敏, 许飞雪()   

  1. 730000 兰州大学第一临床医学院(孙壬涟,程岳,思彩霞);兰州大学第一医院妇产科(魏敏,许飞雪)
  • 收稿日期:2025-04-14 出版日期:2025-12-15 发布日期:2025-12-30
  • 通讯作者: 许飞雪 E-mail:xfx.sxq@163.com

A Case of Follicular Lymphoma Presenting with Ascites as the Primary Symptom

SUN Ren-lian, CHENG Yue, SI Cai-xia, WEI Min, XU Fei-xue()   

  1. The First School of Clinical Medicine of Lanzhou University, Lanzhou 730000, China (SUN Ren-lian, CHENG Yue, SI Cai-xia); Department of Obstetrics and Gynecology, The First Hospital of Lanzhou University, Lanzhou 730000, China (WEI Min, XU Fei-xue)
  • Received:2025-04-14 Published:2025-12-15 Online:2025-12-30
  • Contact: XU Fei-xue E-mail:xfx.sxq@163.com

摘要:

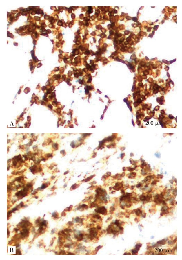
滤泡性淋巴瘤(follicular lymphoma,FL)是一种惰性进展的非霍奇金淋巴瘤,以数年的无痛性淋巴结肿大为典型特征,以腹水为主要症状较为少见,且这类患者实验室检查结果不典型,难以与其他腹膜转移性疾病鉴别。报告1例既往子宫内膜肿瘤且未遵医嘱完成化疗疗程,并在术后2个月失访的患者,因进行性腹胀就诊,超声显示腹腔内大量腹水,全腹增强CT报告腹膜后及肠系膜多发肿大淋巴结,腹膜及大网膜结节样增厚,腹水细胞学检查未见瘤细胞。行腹腔镜探查术,最终术后病理明确为FL,患者已完成6个周期利妥昔单抗+苯达莫司汀化疗,目前未见复发。当存在腹部恶性肿瘤病史患者出现腹膜病变时,尤其淋巴结肿大的情况下,即使影像学无法明确淋巴瘤,除考虑原发肿瘤转移外,需将血液系统肿瘤纳入鉴别诊断体系。

关键词: 淋巴瘤,滤泡性, 腹水, 腹膜肿瘤, 诊断, 治疗

Abstract:

Follicular lymphoma (FL) is an indolent non-Hodgkin lymphoma characterized by painless lymph node enlargement over several years. It is relatively rare for FL to present with ascites as the main symptom. Moreover, the laboratory test results of such patients are often atypical, making it difficult to distinguish from other peritoneal metastatic diseases. This paper reports a case of a patient with a history of endometrial tumor who did not complete the chemotherapy course as prescribed and was lost to follow-up 2 months after surgery. The patient presented with progressive abdominal distension. Ultrasound showed a large amount of ascites in the abdominal cavity. Enhanced CT of the whole abdomen reported multiple enlarged lymph nodes in the retroperitoneum and mesentery, and nodular thickening of the peritoneum and greater omentum. No tumor cells were found in the ascitic cytology examination. A laparoscopy exploration was performed, and the final postoperative pathology confirmed FL. The patient has completed chemotherapy of rituximab plus bendamustine for 6 cycles, and no recurrence has been observed so far. When patients with a history of abdominal malignancies present with peritoneal lesions, especially in the presence of lymph node enlargement, even if lymphoma cannot be clearly diagnosed by imaging, in addition to considering the metastasis of the primary tumor, hematological malignancies should be included in the differential diagnosis system.

Key words: Lymphoma, follicular, Ascites, Peritoneal neoplasms, Diagnosis, Therapy