国际妇产科学杂志 ›› 2025, Vol. 52 ›› Issue (6): 712-716.doi: 10.12280/gjfckx.20250558

• 妇科肿瘤研究:病例报告 • 上一篇    下一篇

宫颈未分化子宫肉瘤一例

刘娟1, 田丽槟2(), 杨勇3, 徐勋华2, 李玲2   

  1. 430080 武汉科技大学医学院(刘娟);武汉科技大学附属华润武钢总医院(田丽槟,徐勋华,李玲);华润武汉钢铁(集团)公司第二职工医院(杨勇)
  • 收稿日期:2025-05-26 出版日期:2025-12-15 发布日期:2025-12-30
  • 通讯作者: 田丽槟 E-mail:65840794@qq.com

Undifferentiated Uterine Sarcoma of the Cervix: A Case Report

LIU Juan1, TIAN Li-bin2(), YANG Yong3, XU Xun-hua2, LI Ling2   

  1. School of Medicine, Wuhan University of Science and Technology, Wuhan 430080, China (LIU Juan); CR & WISCO General Hospital, Wuhan University of Science and Technology, Wuhan 430080, China (TIAN Li-bin, XU Xun-hua, LI Ling); The Second Hospital of Wisco, Wuhan 430080, China (YANG Yong)
  • Received:2025-05-26 Published:2025-12-15 Online:2025-12-30
  • Contact: TIAN Li-bin E-mail:65840794@qq.com

摘要:

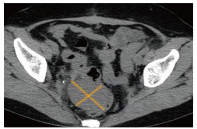
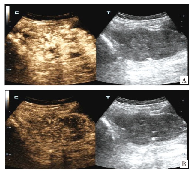
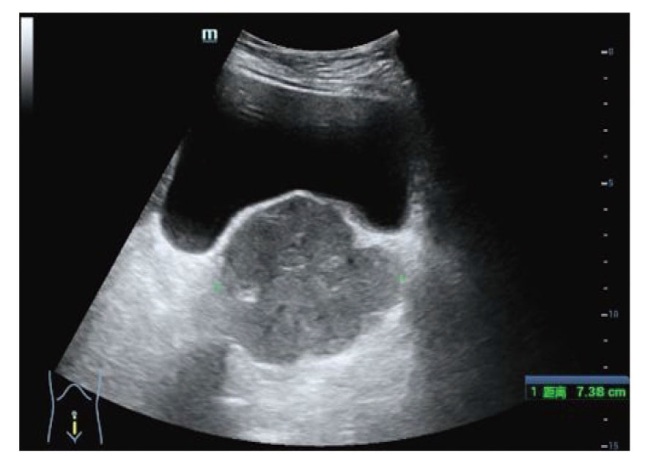
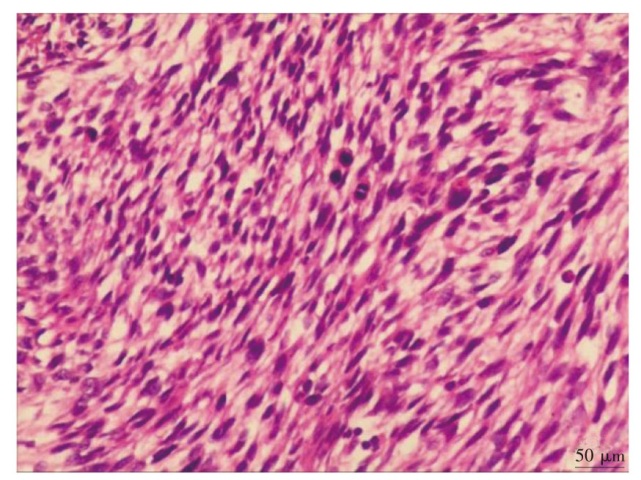
报告1例原发于宫颈的未分化子宫肉瘤病例。患者因绝经7年,阴道出血1周就诊,妇科检查触及宫颈9 cm大小的肿物,影像学检查提示宫颈巨大肿物及盆腔积液,未见明显肿大的淋巴结。遂行经腹全子宫切除术+双侧输卵管卵巢切除术,术后病理活检及免疫组织化学检查提示低级别未分化子宫肉瘤。术后患者拒绝放化疗,未定期复查。半年后再次因阴道出血,下腹部胀痛就诊,影像学提示阴道残端占位性病变,考虑肿瘤复发可能,遂行经导管髂内动脉栓塞术+髂动脉造影+动脉注射化疗药物(顺铂60 mg+表柔比星30 mg)。2个月后又因间断阴道出血在外院化疗1次。定期随访9个月,期间未行治疗,间断阴道出血。后失访。

关键词: 肉瘤, 宫颈肿瘤, 诊断, 治疗, 预后

Abstract:

A case of primary undifferentiated uterine sarcoma of the cervix is reported. The patient presented for medical consultation due to vaginal bleeding for 1 week after 7 years of menopause. A 9 cm mass in the cervix was detected during a gynecological examination. Imaging studies indicated a huge cervical mass and pelvic effusion, with no obvious enlarged lymph nodes. Subsequently, an abdominal total hysterectomy and bilateral salpingo-oophorectomy were performed. Postoperative pathological biopsy and immunohistochemistry suggested low-grade undifferentiated uterine sarcoma. After the operation, the patient refused radiotherapy and chemotherapy and did not undergo regular follow-up. Six months later, the patient presented again with vaginal bleeding and lower abdominal distension and pain. Imaging showed a space-occupying lesion at the vaginal stump, and tumor recurrence was considered possible. Therefore, transcatheter internal iliac artery embolization, iliac artery angiography and intra-arterial injection of chemotherapy drugs (cisplatin 60 mg + epirubicin 30 mg) were carried out. Two months later, the patient received chemotherapy once at another hospital due to intermittent vaginal bleeding. The patient was followed up regularly for 9 months, during which no treatment was administered, and intermittent vaginal bleeding occurred. The patient was then lost to follow-up.

Key words: Sarcoma, Uterine cervical neoplasms, Diagnosis, Therapy, Prognosis