
国际妇产科学杂志 ›› 2025, Vol. 52 ›› Issue (6): 634-637.doi: 10.12280/gjfckx.20251019
MA Yue, LIU Qian-qian, WU Xue-li, LI Hong-li, LIU Chang(
)
摘要:
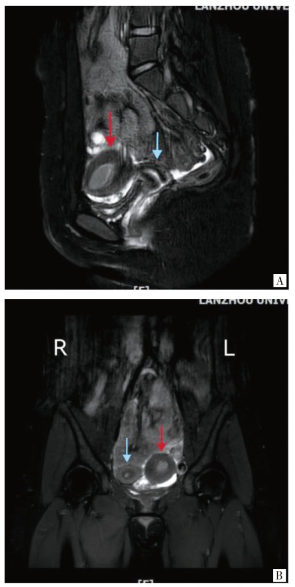
单角子宫作为米勒管发育异常的重要类型之一,是指仅有一侧米勒管正常发育而形成的子宫畸形。流行病学数据显示,该畸形占子宫畸形的 0.3%~4.0%,其中约35%的病例会合并残角子宫及同侧肾缺如。报告1例左侧非交通型有腔残角子宫合并同侧肾缺如青少年患者,临床表现为痛经并进行性加重,经盆腔磁共振成像检查确诊,排除手术相关禁忌证后行经脐单孔腹腔镜下残角子宫切除术+左侧输卵管切除术+盆腔子宫内膜异位病灶切除术+盆腔粘连松解术+脐整形术,术后病理证实残角子宫内膜呈分泌期改变,患者痛经症状缓解。提示早期诊断和规范化的手术治疗对改善患者生活质量具有重要意义。