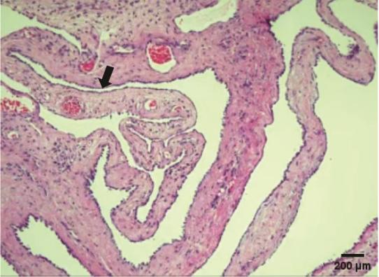
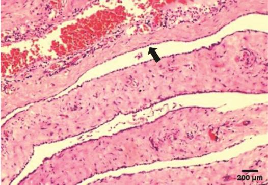
| [1] |
Rahmatullah ZF, Chu LC, Hruban RH, et al. A large peritoneal inclusion cyst in a postmenopausal female without risk factors[J]. Radiol Case Rep, 2025, 20(9):4438-4443. doi: 10.1016/j.radcr.2025.05.081.
|
| [2] |
Hassine HB, Touati M, Bouchrika A, et al. Benign Multicystic Peritoneal Mesothelioma (BMPM) as a rare cause of abdominal pain: a case report and review of the literature[J]. Int J Surg Case Rep, 2025, 131:111448. doi: 10.1016/j.ijscr.2025.111448.
|
| [3] |
Al-Saghir M, Gaishauser K, Al-Wahab ZR. Uncovering the True Diagnosis: A Case Report of Multilocular Peritoneal Inclusion Cyst[J]. Cureus, 2025, 17(4):e81724. doi: 10.7759/cureus.81724.
|
| [4] |
Noiret B, Renaud F, Piessen G, et al. Multicystic peritoneal mesothelioma: a systematic review of the literature[J]. Pleura Peritoneum, 2019, 4(3):20190024. doi: 10.1515/pp-2019-0024.
|
| [5] |
Zhang CH, Yu JW, Luo M. Multicystic peritoneal mesothelioma: A short review[J]. Curr Probl Cancer, 2017, 41(5):340-348. doi: 10.1016/j.currproblcancer.2017.03.002.
|
| [6] |
Haddar K, Leknani M, Betari H, et al. Uncovering a peritoneal inclusion cyst after surgery: A case report[J]. Radiol Case Rep, 2025, 20(6):2642-2645. doi: 10.1016/j.radcr.2025.02.037.
|
| [7] |
Incesu MM, Ucar M, Kozan R, et al. Benign Multicystic Peritoneal Mesothelioma: Two Rare Cases and Review of the Literature[J]. Curr Med Imaging, 2023 Nov 7. doi: 10.2174/0115734056246439231023111720.Epubaheadofprint.
|
| [8] |
Hung YP, Chirieac LR. Molecular and Immunohistochemical Testing in Mesothelioma and Other Mesothelial Lesions[J]. Arch Pathol Lab Med, 2024, 148(5):e77-e89. doi: 10.5858/arpa.2023-0213-RA.
pmid: 38190277
|
| [9] |
Oshikiri H, Ozawa Y, Suzuki O, et al. Benign multicystic peritoneal mesothelioma occurring in bilateral inguinal canals metachronously: a case report[J]. Surg Case Rep, 2022, 8(1):44. doi: 10.1186/s40792-022-01399-5.
pmid: 35292863
|
| [10] |
Ceylan AT, Maila A, Aziz Hakki C, et al. Benign multicystic peritoneal mesothelioma mimicking mucinous ovarian neoplasm with pseudomyxoma peritonei[J]. BMJ Case Reports, 2023, 16(3):e254116. doi: 10.1136/bcr-2022-254116.
|
| [11] |
中国抗癌协会腹膜肿瘤专业委员会, 中国抗癌协会肿瘤热疗专业委员会, 北京癌症防治学会肿瘤热疗专业委员会. 弥漫性恶性腹膜间皮瘤诊治中国专家共识[J]. 中华医学杂志, 2021, 101(36):2839-2849. doi: 10.3760/cma.j.cn112137-20210210-00405.
|
| [12] |
Ettinger DS, Wood DE, Stevenson J, et al. Mesothelioma: Peritoneal, Version 2.2023, NCCN Clinical Practice Guidelines in Oncology[J]. J Natl Compr Canc Netw, 2023, 21(9):961-979. doi: 10.6004/jnccn.2023.0045.
|
| [13] |
Wu CC, Bassi A, Onitilo A, et al. Intra-Operative Diagnosis of Benign Multicystic Peritoneal Mesothelioma: A Case Report of Rare Entity and Lessons Learned[J]. Cureus, 2024, 16(5):e60664. doi: 10.7759/cureus.60664.
|
| [14] |
Wassef J, Kim J, Farag T, et al. A case of benign multicystic peritoneal mesothelioma[J]. J Surg Case Rep, 2024, 2024(10):rjae629. doi: 10.1093/jscr/rjae629.
|