国际妇产科学杂志 ›› 2021, Vol. 48 ›› Issue (6): 639-641.doi: 10.12280/gjfckx.20210088

• 妇科肿瘤研究:病例报告 • 上一篇    下一篇

宫颈梭形细胞横纹肌肉瘤一例

程新, 陈娟, 孙旸, 董渠龙()   

  1. 300162天津,中国人民武装警察部队特色医学中心妇产科
  • 收稿日期:2021-01-25 出版日期:2021-12-15 发布日期:2021-12-30
  • 通讯作者: 董渠龙 E-mail:349271976@qq.com

A Case Report on Spindle Cell Rhabdomyosarcomas of The Cervix

CHENG Xin, CHEN Juan, SUN Yang, DONG Qu-long()   

  1. Department of Obstetrics and Gynecology, The Characteristic Medicine Center of the Chinese People′s Armed Police Forces, Tianjin 300162, China
  • Received:2021-01-25 Published:2021-12-15 Online:2021-12-30
  • Contact: DONG Qu-long E-mail:349271976@qq.com

摘要:

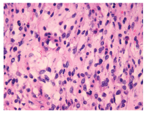
梭形细胞横纹肌肉瘤是软组织肿瘤的一种,来源于骨骼肌的分化,多见于男性儿童,好发于睾丸旁组织,发生于女性生殖系统的病例罕见。现报道1例中国人民武装警察部队特色医学中心(我院)妇产科2019年收治的宫颈梭形细胞横纹肌肉瘤病例,该患者以绝经后阴道间断出血为首发表现,进展至尿潴留而就诊,临床症状明显,发展迅速,极其罕见,但尚无特定有效的治疗方式。现回顾分析该病例特点,以期提高妇产科医生对该病的认识。

关键词: 宫颈肿瘤, 梭形细胞, 横纹肌肉瘤, 子宫出血, 病例报告

Abstract:

As one of soft tissue tumors, spindle cell rhabdomyosarcoma originates from the differentiation of skeletal muscle, which is more common in male children, especially often occurs in paratesticular tissue and rarely occur in female reproductive system. Now, a clinical case on a woman diagnosed with spindle cell rhabdomyosarcoma of the cervix who were hospitalized in the Department of Obstetrics and Gynecology, the Characteristic Medicine Center of the Chinese People′s Armed Police Forces in 2019 is reported. This patient was the first manifestation of postmenopausal bleeding and has developed to urinary retention. The disease developed rapidly and was extremely rare with obvious clinical symptoms, but there was no specific effective treatment. We hope to share the case report in order to improve the academic vision and enhance the understanding of the disease in obstetricians and gynecologists.

Key words: Uterine cervical neoplasms, Spindle cell, Rhabdomyosarcoma, Uterine hemorrhage, Case reports