Journal of International Obstetrics and Gynecology ›› 2026, Vol. 53 ›› Issue (1): 108-112.doi: 10.12280/gjfckx.20250598

• Obstetric Physiology & Obstetric Disease: Original Article • Previous Articles     Next Articles

Umbilical Vascular Thrombosis in Parturients: A Clinical Analysis of Six Cases

ZHANG Huan-qin, YANG Wei-hua(), GUO Yao-shan, LIANG Xiao-ju   

  1. Shenzhen Guangming District People's Hospital, Shenzhen 518000, Guangdong Province, China
  • Received:2025-05-30 Published:2026-02-15 Online:2026-03-11
  • Contact: YANG Wei-hua E-mail:dryang0120@163.com

Abstract:

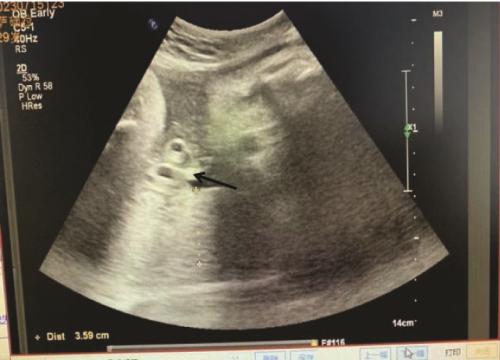
Objective: To analyze the clinical profiles of parturients with umbilical vascular thrombosis, to delineate early recognition markers and diagnostic-therapeutic protocols, and to provide evidence for optimizing maternal-fetal outcome. Methods: Clinical data of 6 parturients with umbilical vascular thrombosis managed at Shenzhen Guangming District People's Hospital were retrospectively reviewed. Results: Among the 6 cases, 5 cases exhibited abnormal antepartum cardiotocography (CTG). Prenatal ultrasound identified umbilical vascular thrombosis in 3 cases, all delivered by emergency cesarean section promoted by pathological CTG patterns. Within this subgroup, one fetus presented with a secondary single umbilical artery and one with markedly tight umbilical cord spirals; the latter received a complete course of antenatal corticosteroids for fetal pulmonary maturation after sonographic detection of umbilical arterial thrombosis at 31+1 weeks, followed by emergency cesarean section at 34+4 weeks. In the remaining 3 cases, prenatal ultrasound revealed no umbilical vascular anomaly; 2 cases underwent emergency cesarean section for abnormal CTG and one had an elective cesarean section. All 6 neonates survived. Of the 5 parturient-neonate pairs screened for protein S and protein C activity, 4 mothers were deficient in protein S and 2 in protein C; 3 neonates were deficient in protein S and 5 in protein C. Conclusions: Whenever obstetric ultrasound indicates an altered umbilical vessel count, hyper-coiled umbilical cord, laboratory evidence of protein S or protein C deficiency, or abnormal CTG patterns, umbilical vascular thrombosis should be suspected. In preterm pregnancies with stable fetal status, expectant management under intensive surveillance may be considered.

Key words: Thrombosis, Umbilical arteries, Ultrasonography, prenatal, Fetal monitoring, Protein S, Protein C, Pregnancy outcome