国际妇产科学杂志 ›› 2023, Vol. 50 ›› Issue (6): 665-667.doi: 10.12280/gjfckx.20230672

• 妇科肿瘤研究:病例报告 • 上一篇    下一篇

卡度尼利单抗单药及联合化疗治疗复发性宫颈癌一例

石蕊, 冯淑娴, 马薇(), 张宗翠   

  1. 730030 兰州,西北民族大学医学部(石蕊,马薇,张宗翠); 中国人民解放军联勤保障部队第九四医院妇科(石蕊,冯淑娴,张宗翠)
  • 收稿日期:2023-08-31 出版日期:2023-12-15 发布日期:2023-12-13
  • 通讯作者: 马薇 E-mail:615269351@qq.com
  • 基金资助:
    中央高校基本科研业务费项目(31920200001)

A Case of Recurrent Cervical Cancer Treated with Cadonilimab Monotherapy and Combination Chemotherapy

SHI Rui, FENG Shu-xian, MA Wei(), ZHANG Zong-cui   

  1. Department of Medicine, Northwest Minzu University, Lanzhou 730030, China (SHI Rui, MA Wei, ZHANG Zong-cui); Department of Gynecology, The 940th Hospital of Joint Logistics Support Force of People′s Liberation Army, Lanzhou 730050, China (SHI Rui, FENG Shu-xian, ZHANG Zong-cui)
  • Received:2023-08-31 Published:2023-12-15 Online:2023-12-13
  • Contact: MA Wei E-mail:615269351@qq.com

摘要:

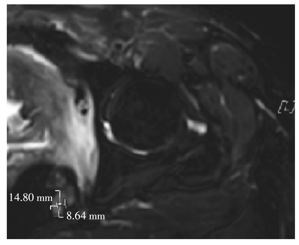
宫颈癌的发病率高居妇科恶性肿瘤之首,目前手术仍然是早期宫颈癌有效的治疗方法。但宫颈癌具有较高的复发率和远处转移能力,晚期预后差,治疗选择有限。报告1例宫颈癌根治术和放化疗联合治疗后仍复发,出现膀胱阴道瘘和直肠阴道瘘并发严重感染的患者,经卡度尼利单抗单药及联合化疗治疗取得了生存获益,旨在为复发性宫颈癌的治疗提供新思路。

关键词: 宫颈肿瘤, 免疫疗法, 卡度尼利单抗, 复发, 药物疗法, 药物疗法,联合

Abstract:

The incidence rate of cervical cancer is the highest among gynecological malignancies. At present, surgery is still an effective treatment for early-stage cervical cancer, but cervical cancer has a high recurrence rate and distant metastasis, poor prognosis in advanced stages, and limited treatment options. This article focuses on a case with recurrence of cervical cancer despite radical hysterectomy and combined chemotherapy and radiotherapy, who developed vesicovaginal fistula and rectovaginal fistula with severe infection, and achieved a survival benefit by treatment with cadonilimab monotherapy and combination chemotherapy. It aims to provide new ideas for the treatment of recurrent cervical cancer.

Key words: Uterine cervical neoplasms, Immunotherapy, Cadonilimab, Recurrence, Drug therapy, Drug therapy, combination