国际妇产科学杂志 ›› 2021, Vol. 48 ›› Issue (2): 200-202.doi: 10.12280/gjfckx.20200733

• 产科生理及产科疾病 病例报告 • 上一篇    下一篇

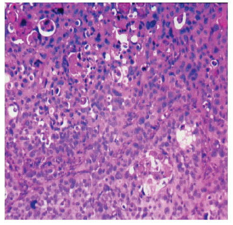
妊娠合并宫颈癌一例

李睿彦, 俞晓雲, 何玲玲, 冯淑杰, 王海琳()   

  1. 730000 兰州大学第一临床医学院(李睿彦,俞晓雲,何玲玲,冯淑杰,王海琳);甘肃省人民医院妇科(王海琳)
  • 收稿日期:2020-08-10 出版日期:2021-04-15 发布日期:2021-04-16
  • 通讯作者: 王海琳 E-mail:wanghailinyx@163.com

Pregnancy with Cervical Cancer: A Case Report

LI Rui-yan, YU Xiao-yun, HE Ling-ling, FENG Shu-jie, WANG Hai-lin()   

  1. The First Clinical Medical College of Lanzhou University, Lanzhou 730000, China (LI Rui-yan, YU Xiao-yun, HE Ling-ling, FENG Shu-jie, WANG Hai-lin) ; Department of Gynecology, Gansu Provincial Hospital, Lanzhou 730000, China (WANG Hai-lin)
  • Received:2020-08-10 Published:2021-04-15 Online:2021-04-16
  • Contact: WANG Hai-lin E-mail:wanghailinyx@163.com

摘要:

妊娠合并宫颈癌较为罕见,早期临床表现并不典型。由于缺乏妇科肿瘤筛查意识,易与胎膜早破、先兆早产等疾病相混淆,导致治疗延误。妊娠合并宫颈癌的治疗尚无成熟且规范的方案,尤其是妊娠中期宫颈癌的治疗存在很大争议,需要根据病理检查、分期、胎儿发育情况及孕妇的妊娠期望等制定个体化综合治疗方案。回顾性分析1例以阴道流血流液入院,经保守治疗失败后,行剖宫产术终止妊娠的中期妊娠合并宫颈癌的诊治经过,并对相关文献进行复习,以期为疾病的诊治提供经验。

关键词: 宫颈肿瘤, 治疗, 化学疗法, 辅助, 妊娠, 剖宫产术

Abstract:

Pregnancy with cervical cancer is relatively rare, early clinical manifestations are not typical. Due to the lack of awareness of gynecological tumor screening, it is easy to be confused with premature rupture of membranes, threatened premature delivery and other diseases, lead to treatment delay. There is no mature and standardized treatment for cervical cancer in pregnancy, especially the treatment of cervical cancer in the mid trimester of pregnancy is controversial. It is necessary to formulate individualized comprehensive treatment plan according to disease examination, staging, fetal development and pregnant women′s pregnancy expectation. This is a retrospective analysis of a case of second trimester pregnancy with cervical cancer who was admitted to the hospital with vaginal bleeding, after failure of conservative treatment, cesarean section was performed to terminate the pregnancy. We report this case and review the relevant literature, hoping to provide experience for the diagnosis and treatment of the disease.

Key words: Uterine cervical neoplasms, Therapy, Chemotherapy, adjuvant, Pregnancy, Cesarean section